In unserer Tierklinik setzen wir auf modernste Technologien, um die Gesundheit Ihres Tieres bestmöglich zu sichern. Mit unserem hochentwickelten Computertomographen (CT) bieten wir Ihnen eine schnelle, präzise und schonende Möglichkeit, komplexe medizinische Fragestellungen zu klären.
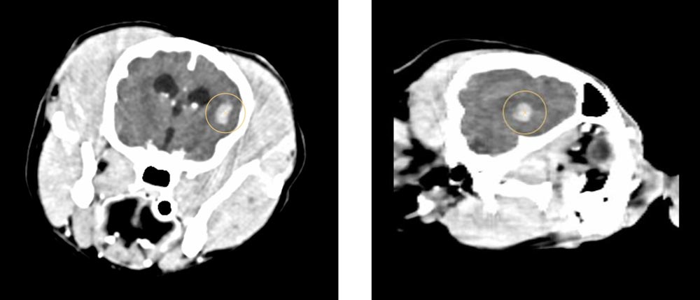
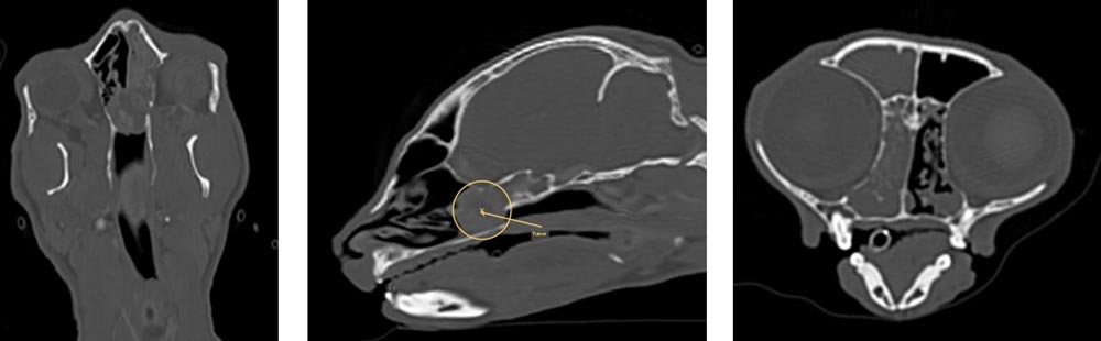
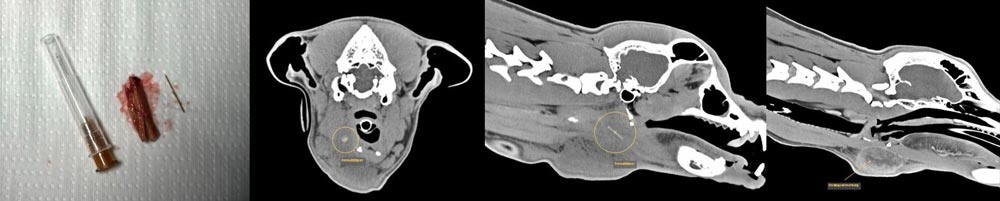
Dank des CTs können wir detaillierte 3D-Bilder von Organen und Geweben erstellen und so Erkrankungen erkennen, die mit herkömmlichen Methoden schwer sichtbar wären. Dies ist besonders hilfreich bei der Diagnose von Tumoren, Verletzungen oder Erkrankungen der inneren Organe und des Nervensystems.

Ihre Vorteile im Überblick:
Ob bei akuten Erkrankungen, geplanten Operationen oder der Behandlung von chronischen Leiden – unser CT ist ein unverzichtbares Werkzeug, um die Gesundheit Ihres Tieres zu überwachen und zu fördern.
CT-Untersuchungen führen wir nach Terminvereinbarung während der Sprechzeiten durch.
Rufen Sie uns zur Terminvereinbarung an unter Tel. 06051 916650 oder vereinbaren Sie bitte online einen Untersuchungstermin.
Lesen Sie hier, wie wir Ihr Tier medizinisch versorgen und betreuen können.
© 2026 Tierklinik im Tierzentrum Gelnhausen