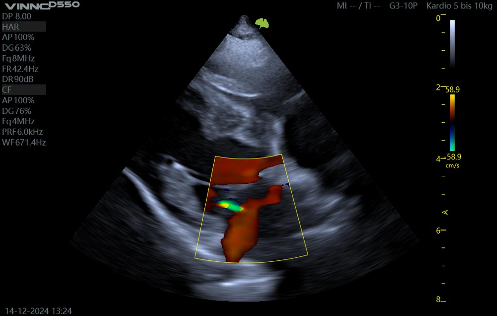
Die Untersuchung des Herzens mittels Ultraschall, Echokardiographie genannt, ermöglicht eine präzise Darstellung der Herzstrukturen und der Herzleistung. Wir können die Herzklappen der beiden Kammersysteme genau darstellen, ihre Dichtigkeit mit dem Farbdoppler untersuchen und die Auswurfleistung des Herzens mit dem Spektraldoppler hochauflösend darstellen. Ein mitlaufendes EKG zeigt genau, wann sich Klappen schließen, wie sich der Herzmuskel kontrahiert und vieles mehr.


Unsere Patienten zeigen allerdings erst im fortgeschrittenen Stadium Symptome, da sie nicht über Erstanzeichen mit ihren Besitzern reden. Erst wenn Leistungsdefizite da sind, merken Hunde- und Katzenhalter, daß irgendetwas nicht stimmt.


Daher bieten wir die Echokardiographie auch im Rahmen eines Vorsorge-Checks an. Sowohl Welpen und Kitten sollten untersucht werden auf angeborene Fehlbildungen, als auch Hunde und Katzen, wenn sie ins Seniorenalter eintreten. Viele Herzerkrankungen gehen auch nicht mit einem Herzgeräusch einher, so daß ein jährliches Abhören beim Impfen tatsächlich keine Sicherheit gibt.
Finden wir im Rahmen dieser Vorsorgeuntersuchung des Herzens Klappenundichtigkeiten oder Stauungen und andere Funktionseinschränkungen, so hilft dieser Zeitvorteil enorm! Ist eine Herzerkrankung erst klinisch, das heißt zeigt das Tier Schwäche oder Husten aufgrund von Wassereinlagerungen, so besteht die Gefahr, daß man hier nur noch wenig Zeit gewinnen kann oder starke Medikamente, die mit deutlichen Nebenwirkungen einhergehen, einsetzen muß.


Ihr Hund oder Ihre Katze muss für die Untersuchung keine Narkose erhalten. Ihr Tier darf gemütlich auf der Seite liegen während Sie dabei sind und zur Beruhigung das Pfötchen halten dürfen.
Wenn gewünscht, senden wir Ihnen und Ihrem Haustierarzt alle Befunde im Anschluss per E-Mail zu.
Lesen Sie hier, wie wir Ihr Tier medizinisch versorgen und betreuen können.
© 2026 Tierklinik im Tierzentrum Gelnhausen